「右足が見えません」二卵性の双子を妊娠。妊娠19週のスクリーニング検査で、わが子の障害が判明し…【けんじとあかりインタビュー】
約3年前から、DIYで車中泊仕様にした軽ワンボックスカーで日本中を旅している夫婦YouTuber「けんじとあかり」さん。結婚7年目であかりさんが双子を妊娠していることがわかりました。しかし、妊娠5カ月の検査で、双子の1人に右足がないことが判明。自分を責め、不安いっぱいで過ごしながらも、2024年12月に無事に双子を出産したあかりさんと、夫・けんじさんに、今日までのことについて、話を聞きました。全2回インタビューの前編です。
待望の妊娠!しかも双子!しかしリスクを知るたび、不安も増して…
2018年に結婚したけんじさんとあかりさん。コロナ下に夫婦で人生について考え、2021年、会社員を辞めて旅に出ることを決めました。その様子をYouTubeで配信しながら、約1年かけて車中泊とキャンプで47都道府県を訪れることを達成!2022年には、北海道に移住して旅を続けつつ、夢であるカレー屋さんになることをめざし、活動していました。
「子どもは、2人ともいつかは欲しいと思っていたのですが、2021年から日本一周をしていたので、その期間は難しいなあと思っていたんです。その旅が終わり、北海道に移住して落ち着いてからは、夫婦でそろそろ子どもが欲しいな、いつ来てくれてもいいなと思っていました」(けんじさん)
そんな中、結婚7年目にして、あかりさんの妊娠が判明し、しかも双子であることがわかりました。
「当たり前かもしれませんが、双子と聞いて、すごくうれしかったです。私としては、将来的に子どもは2人は欲しいなって思っていましたが、職業柄、先の見通しがなかなかつかないので、妊娠・出産を2回するとなると仕事面で心配なことが多かったんです。だけど、もう一気に2人来てくれた!みたいな感じ。すごくうれしかったですね。
ただ、知り合いに双子を持つご夫婦がいらっしゃって。育児の大変さも話されていたし、妊娠中に妊娠糖尿病になったりしたそうなんです。だから、双子妊娠の大変さを改めて感じて、不安もすごく大きかったです」(あかりさん)
「僕もあかりも姉がいる2人きょうだいということもあって、2人は子どもが欲しいと思っていたので、一気に2人の父になれるということで、まずはシンプルにうれしかったです。最初は双子妊娠についての知識もなかったので、『双子、かわいい!』みたいな漠然としたイメージで、うれしいしかなかったんですね。
おそろいの服を用意してあげたいなとか、性別の組み合わせを想像するのも、名前を考えるのも楽しかったです。生まれてからはいきなり家族4人でのお出かけになることも楽しみでしたね。僕たち2人がキャンプとか旅行とかが大好きなんで、家族一緒にいろいろなところに行きたいなと。
ただ、双子の妊娠について調べたり、妊婦健診に一緒に行って医師から話を聞いたりするようになって、双子妊娠のリスクの話を知り、心配も出てきました。とくに『バニシングツイン』といって、双子のうちの1人がおなかの中で亡くなってしまうことがあると知って、双子が双子のまま育ってくれるかわからないし、最悪2人とも…ということもあるかもしれない、という不安は常にありました」(けんじさん)
「そうですね。私も双子妊娠のリスクって、子どもたちについてもあったんですが、母体側も早産や妊娠糖尿病などのトラブルになりやすいと聞いたので、自分の体が耐えられるのかな、2人を正期産(せいきさん)までおなかで育てられるかな、妊娠期間を無事に終えられるのかなっていう不安がずっとありました」(あかりさん)
けんじさんとあかりさんの場合、双子ちゃんは二卵性で、二絨毛膜二羊膜(にじゅうもうまくにようまく)。それぞれに胎盤があって、別々の羊膜の中にいるので、双子の中ではリスクは低めとされます。それでも母体への影響は単胎妊娠以上に大きく、切迫早産(せっぱくそうざん)や妊娠高血圧症候群などの合併症に注意が必要といわれます。
「幸い、待てど暮らせどつわりもなくて、私の体調もよかったんですが、双子だから通常よりリスクが高いということで、妊娠19週のころに、妊娠中期のスクリーニングエコーという、より詳しい長い時間をかけてしっかり診ていくエコー検査を、医師の勧めもあって受けることになりました。
それまでの健診で受けたエコー検査では、2人とも大きさも週数どおりで、何も指摘されていなかったですね。だから、まだわかっていなかった2人の性別が、スクリーニングエコーで詳しく検査したら、きっとわかるんやろうなぁっていうくらいの気持ちで受けたんです」(あかりさん)
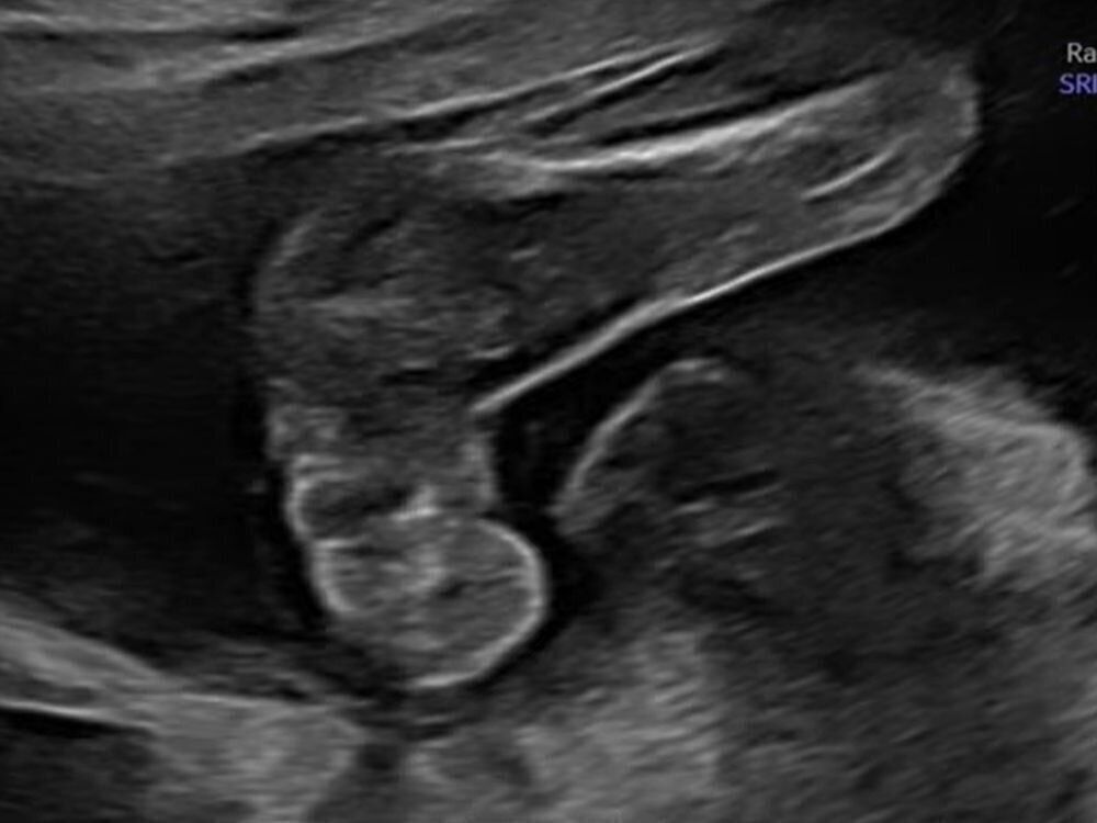
そして、そのエコー検査で、おなかの赤ちゃんに右足欠損という障害があることがわかったのです。
「右足が見えません」。まったく想像していなかった障害が判明し…
スクリーニングエコーの当日、けんじさんとあかりさんは一緒に病院へ。ただ、「きっと性別がわかるだろう」と思ったあかりさんは、けんじさんに性別をサプライズで報告しようと思い、1人で検査室に向かいました。
検査は、第1子となる、子宮口に近い位置にいた赤ちゃんの検査から。心臓にちゃんと4つの部屋があるかなど、臓器1つずつの確認や、四肢が形成されているかどうかなどを2時間くらいかけて、すごく詳しく診てもらったそうです。
「第1子となるゆーちゃんの検査を先にやって、『うん、問題ないね』と言われて、次に第2子となるきーちゃんのエコーを見ていたんです。そのときにはもう2人の性別もわかっていて、先生と世間話をしながら、検査を受けていたんですね。
そしたら、最後に先生の手が止まって『ちょっとここ、詳しく診たいので…』と言ってほかの先生を呼んで、2人でお話しされながらエコーを見ていらしたんです。その雰囲気から、私も『なんかあったんやろうな』と感じました。
しばらくして、医師に『お母さん、驚くかもしれないけれど、第2子の子の右足が見えません』と言われました。さらに、右足がないことで、ほかの四肢にも障害がある可能性があると言われ、ほかの手足についてもさらに詳しく診てもらい、左足については先天性内反足(せんてんせいないはんそく)※であることがわかりました。
※足首が内側に向いている状態。ほうっておくと普通に歩行することが困難になってしまう場合も。約1000人に1人の割合で起こると言われている。
私も30代だし、ダウン症などの障害があるかもしれないとは思っていたんですが、片足がないって言われたときは、全然想像ができなくて。何をしていいか、何をしてあげられるかがまったくわからなくて、どうしようという気持ちと、自分が妊娠中に食べたものが悪かったんじゃないかとか、生活で影響を与えたことがあったんじゃないかとか、そういうことをいちばんに考えてしまいました」(あかりさん)
検査がひと通り終わったところで、けんじさんも病院内にいると知った医師に「せっかくだから、画像を見ながらお父さんにも説明しましょう」と言われ、あかりさんは待合室のけんじさんのもとへ向かいました。
「病院の待合室で待っていたところ、あかりが号泣して現れて。自分としても、今日性別がわかるやろうなぁくらいの気持ちで待っていたんで、びっくりしましたね。同時に、何かあったんやなというのはすぐにわかったので、僕としてはいちばん最悪のパターンというか、どちらかが亡くなっていたのかもしれない、ということが最初に頭に浮かんで。
それ以外にも心臓とか内臓に何かあったり、ダウン症だったりという可能性は、双子妊娠の情報を調べる段階で知っていたんですが、まるまる右足が1本ないというのは聞いたことがなく、まったく想像してなかったことだったので、驚きました。
ただ、驚いたしショックではあったんですけど、双子は2人とも生きているし、医師にはよく動いていて元気だということを言ってもらえたので、ほっとした部分も大きかったです。
もともと僕がポジティブな考え方をしているからかもしれませんが、僕としては不安はあまりなくて。右足が欠損していて左足が内反足って聞いても、ないものはしかたないし、原因を考えても足が生えてくるわけじゃない。今の時代、片足がなくても大丈夫、なんとかなる!という感じでした。
あとは、サプライズで知る予定だった性別を、医師がさらっと『2人とも女の子で…』と言って、知ったんです。僕が希望していた女の子だったこともあって、不安よりもワクワクの気持ちのほうが強かったんですよね。
もちろん、僕も最初から不安がゼロだったわけではなくて、当日はすごいショックやったし、生まれてくる子どもが人生をどう歩むのかということはすごく考えました。子ども自身は右足がないことで不便なことはいっぱいあると思うし、それでも幸せになれるのか?幸せになってほしい!と。
当日は寝る直前までいろいろ調べたりしてなかなか眠れなかったんですが、調べていると、障害があってもポジティブに暮らしている子どもたちや親御さんの記事が出てきたんです。『不安だったけれど、生まれてきたら、やっぱりみんなかわいい』みたいに書いてある記事もたくさん出てきて、だいぶ励まされて。
それで僕は、これはもう親として一生懸命子どもをサポートしてやっていくしかないなと決意しました。だから、僕が不安になったのは障害がわかったその日ぐらいですかね。次の日からは、もう普通にワクワクしているというか、なんとかなる!なんとかする!みたいな感じでずっと過ごしていました」(けんじさん)
お子さんの障害がわかった当日に、気持ちを整理し、翌日からはまた赤ちゃんと過ごす日々を前向きに考えることができたというけんじさん。それに対し、あかりさんはどうだったのでしょうか。
「確かに、けんじは最初からポジティブでした。私はネガティブとまではいかないんですけど、考えちゃうタイプで。障害がわかったあとの妊娠期間中も、けんじとは結構温度差があって、私は割とずっと不安だったと思います。
私はどっちかというと、『生まれてからはもう絶対たいへんやから、生まれる前に知れることは全部知っておきたい』って思っていたんです。だから、その後の健診で『元気ですよ』と言ってもらえても、足の話をしない先生がいることや、新たにわかることがないことが心配でしたし、同じ症状の人に実際に話を聞くことが全然できないことも不安でした。
娘と同じように片足がない子の親御さんに話を聞けるチャンスがあれば少しは違ったと思うんですけど、そのときは生まれてからどういう生活になるかが想像できなくて、ずっと検索魔になっていました。
あとは、あのときの私のあの行動が悪かったんじゃないかみたいに、どうしても自分を責める方向に考えてしまって。それを言うとけんじは毎回『それは絶対ない。先生も違うって言ってたし。そんなことは気にせんでいい』と言ってくれていました。
そのあとに医師の勧めで受けたさらに大きな病院でのエコー検査でも、出産までの妊婦健診でも、右足欠損と左足の先天性内反足以外のことは判明せず、『これ以上のことは産まれてからでないとわかりません』と言われて、私はやきもきしていたんですが、けんじは『先生がそう言うならこれ以上のことはわからんのやろうし、今考えてもしょうがない。生まれてから考えよう。追加で障害を言われたわけじゃないんだから』って。
そんなけんじのポジティブさに、私は本当に励まされましたし、ずっと不安を抱えていた私も、出産前の最後の最後は、割とポジティブになれてたと思うんです」(あかりさん)
あかりさんはその後、双子妊娠であること、第1子のゆーちゃんの成長が妊娠30週ぐらいになってゆっくりになり、体格差が出てきたこともあって、妊娠34週で管理入院に。そして、待望の出産を迎えるのです。
お話・写真提供/「けんじとあかり」さん 取材・文/藤本有美、たまひよONLINE編集部
ポジティブなけんじさんと、慎重派のあかりさん。妊娠中は少し温度差があったそうですが、けんじさんの常に前向きな考え方にあかりさんは救われ、その後は「心の準備ができたから、早いうちに障害がわかってよかった」と思えるようになったそう。心が不安定なときだからこそ、お互いをしっかり支え合ったという2人。とてもすてきなご夫婦だなと思いました。後編では、双子のゆーちゃんときーちゃんが生まれてからのことを聞きます。
「たまひよ 家族を考える」では、すべての赤ちゃんや家族にとって、よりよい社会・環境となることを目指して様々な課題を取材し、発信していきます。
参考資料
けんじとあかりさん
PROFILE
大阪出身。軽バンと宅配バンで車中泊旅を楽しむ夫婦であり、登録者19万人を誇るYouTuber。夢はカレー屋さん。コロナ下で人生について考え、会社員を辞めて旅に出ることを決め、2021年4月から約1年をかけて、車中泊とキャンプをしながら47都道府県を訪れる。その後、北海道に移住したが、あかりさんの妊娠をきっかけに地元大阪に拠点を移す。2024年12月、二卵性双子の女の子が誕生し、双子育児に奮闘中。
●この記事は個人の体験を取材し、編集したものです。
●掲載している情報は2025年4月現在のものです。


SHOP
内祝い
