2D・3Dのエコー写真で見る「私と赤ちゃんの実録260日」
慣れない子育てに悩みながら、保育士資格の勉強をしたり、子育て支援のサポーターをしたりと活動をした40代のママライター、チャーミー小結です。今を遡ること10年ほど前に体験した私の出産は、妊活を経て自然妊娠をし、喜んだのも束の間、独身時代から患っていた子宮筋腫の位置と子宮頸管が短くなっていたことから「切迫早産」の診断を受け、即日管理入院という大変な事態に。
そんな、安静を強いられた約3ヶ月の入院生活を経て、私が「無痛分娩」による計画出産を選択するまでのエコー画像と共に綴る、出産体験記です。
妊娠も車椅子も入院も出産も初めてづくし、親類縁者誰もいない見知らぬ土地で孤軍奮闘した体験を、2D・3D・4D画像の3種類、計22枚のエコー写真にまつわるエピソードとともに綴ります。
<妊娠初期> 妊娠2週~12週。胎嚢から人間らしく!
妊娠5週目のエコー写真
妊娠検査薬で陽性反応が出た翌日、病院を受診して最初に撮ったエコー写真です。この時点で妊娠5週目。初めて見る画像でしたが、モニターに映った瞬間「いる!」と胎芽の入っている胎嚢(袋)が確認できました。
妊娠7週目のエコー写真
2週に一度の健診が待ち遠しくてたまらなかった頃です。心拍の確認と、胎芽の横に卵黄嚢という丸い輪があり、「赤ちゃんのお弁当よ」という医師の説明に生命の神秘を感じていました。出産予定日が来夏と決まり、妊娠届出書をもらって母子手帳をもらいに行きました。
妊娠9週目のエコー写真
何となく頭と胴体の区別が出始め、胎芽から胎児とよばれるようになりました。スリムな人だとまだおなかの膨らみが分からない頃ですが、嬉しくてウエストノーマークのマタニティ服を着て過ごしていました。
妊娠11週目のエコー写真
首や手などが見えて、すっかり人間らしくなりました。世間は年末年始の帰省ラッシュに入る頃でしたが、このときばかりは安全第一を理由に、大掃除も飛行機利用の夫の実家への帰省も取り止め、自宅でのんびり過ごしました。
<妊娠中期>妊娠13週~27週。3Dで顔立ちもわかる!?ように
妊娠13週目のエコー写真
こちらを向いて横たわっているように見えます。自分のおなかがタヌキのおなかみたいだったので、赤ちゃんに「ぽん太」と名付けて話しかけたり、一緒に歌ったり、踊ったりしていました。
妊娠14週目のエコー写真
なんと人の顔らしきものと背骨が見えます。「ぽん太」という愛嬌あるネーミングにそぐわない端正な顔立ち・・・と早くも親バカを楽しみ始めた頃です。つわりと一日中襲ってくる眠気との闘いを支えるモチベーションになっていました。
妊娠17週目のエコー写真
産科のある病院に転院して最初に撮ったエコー写真です。これまでの写真と比べても、よく動き回っているのが分かります。赤ちゃんの首の後ろにあるむくみ部分の厚みにも、問題無さそうとの見解でした
妊娠18週目の4Dエコー写真
4D画像になり目鼻立ちもはっきりと確認できます。赤ちゃんの胎動は”金魚を手のひらで包み込んでいる感じ”がしました。赤ちゃんの心臓に異常がないかを確認し、母体側では子宮筋腫が胎盤裏に位置しているので注意が必要だと説明されました。信頼のおける医師と出会い、その医師に全てを託す思いで分娩申込書を提出しました。
妊娠20週目のエコー写真
妊娠20週目の2D画像。横になった姿勢で、顔のアップの左側に写っている顎の細さが分かりました。赤ちゃんの推定体重345g。私の腹囲は人生初の90cm台になり、どこからみても貫禄充分なお母さんでした。
妊娠20週目の3D画像。早くも引っ込み思案な性格の表れか、エコー写真を撮ろうとすると胎盤の裏に隠れようとしています。何度も撮り直してようやく撮れたのがこちら。この頃、保健センターで催される母親学級で、産院が同じプレママと出会いました。
妊娠24週目のエコー写真
2D画像。医師から「今、性別を知りたいですか?それとも楽しみに取っておきますか?」と尋ねられ、名付けや準備に必要だからと教えてもらいました。前夜にみた夢のお告げ通りだったので、ますます神秘的な気持ちになりました。
妊娠24週目の4Dエコー写真 (一部)
妊娠24週目4Dの一部画像。手で顔を隠すしぐさと、首にへその緒を巻いている様子が見えます。赤ちゃんの体重727g母体の体重60kg!つわりもおさまった頃で体重管理を意識し始めた時期です。この頃、母親学級で知り合った同じ産院で分娩予定のプレママが管理入院することになり、健診の帰りにお見舞いに行きました。
妊娠25週目のエコー写真
アップすぎてよく分からないですね。それでも、これまでのエコー写真と同様に大切な「安産のお守り」でした。
妊娠25週目、別の角度から撮った写真。手の指が5本あることを教えてもらいました。念のため受けた子宮頸管の長さを測る検査で「切迫早産」と診断を受け、そのまま人生初の車椅子に乗せられて、人生初の入院生活がスタートしたのでした。
妊娠27週目のエコー写真
管理入院中は、ずっとベッドで安静第一に過ごさねばなりませんが、毎日看護師さんが赤ちゃんの心音を確認してくれるので安心でした。
<妊娠後期>妊娠28週~36週。低体重児をクリア!次は早産児クリアを目標に
妊娠28週目のエコー写真
指を開いて見せているところ?この頃から「ぽん太」はおなかの中でよく伸びをしていて、胃が押し上げられました。入院してからは毎日誰かの赤ちゃんが誕生し、新生児室のガラス越しに並んだベビーたちを眺める楽しみも加わりました。
妊娠30週目のエコー写真
口をキュッとつぐむ様子も愛おしい表情。この頃は便秘がひどく、「酸化マグネシウム」を医師に処方してもらいました。この頃は安静にしながらも、週に1回催される母親学級へ車椅子で通い勉強していました。
妊娠32週目のエコー写真
妊娠32週目。赤ちゃんの体重1915g。この頃の楽しみは医師軍団による回診で、ドラマ「白い巨塔」の再現VTRを見ているようでした。実家の母に頼んでウエストサイズ100cmのパジャマを作って送ってもらいました。
妊娠33週目のエコー写真
「顔上向き、黒いところは目。2200g~2300g」と記してあります。右上にある黒い丸2つが目でその間に鼻がうつっています。口を開けているところ?このころは、おなかが大きくなり自分で足の爪を切ることが難しかったので、看護師さんにお願いしていました。
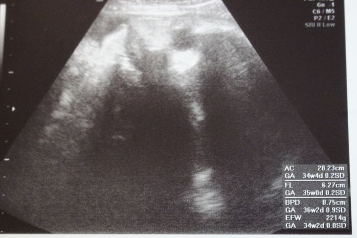
妊娠34週目のエコー写真
赤ちゃんの体重2214g。病院の食事はまずいと噂は聞いていたのですが、ご多分に漏れずこちらの産院も独特の味つけ。お見舞いに来てくれる友人・知人の差し入れがささやかな楽しみでした。
妊娠35週目のエコー写真
妊娠35週目。低出生体重児とされる2500gを超える時期になってきました。この体重に達すれば管理入院の必要が無くなるので、一旦退院して陣痛が来たらまた分娩に来るか、このまま計画出産するかの選択を迫られました。
妊娠36週目のエコー写真
赤ちゃんは大きくなり、もうエコー写真では寄りすぎていて分かりません。触診で赤ちゃんの頭がだいぶ降りてきていて、退院してもすぐに陣痛が来てトンボ帰りになる可能性が高いと医師から言われ、悩みに悩んで「無痛分娩」という計画出産を選択したのでした。
おなかに赤ちゃんが来てくれたことで、自分の体を大切に思えました。
初産で不安に取り込まれ、健康に産んであげなければとプレッシャーに押しつぶされそうになっていた妊婦時代。出産して数年が経ち、地震や放射能による環境汚染の心配があるたび、あの頃だけがママのおなかの中で身をもって守ってあげられたのだなと思います。
おなかにいっぱいの幸せ・・・入院や出産の大変さがあっても尚、できればもう一度と願わずにはいられません。
[チャーミー小結 * プロフィール]
フリーランスで働く1児の母。慣れない子育てに悩み、保育士資格の勉強や、子育て支援サポーターのリーダーとして活動した経験を持つ。今は自宅の庭で母猫や母鳥が子育てしているのを、ママ仲間として見守っている。


 SHOP
SHOP 内祝い
内祝い 
     
     
             
             
             
             
     
     
     
     
     
     
     
     
     
     
     
     
     
     
     
     
     
     
     
     
     
     
     
                 
                                 
                                 
                                 
                                 
                                 
                                 
                                 
                                 
                                 
                                 
     
     
     
     
            