SHOP

内祝い

  1. トップ
  2. 妊娠・出産
  3. 出産
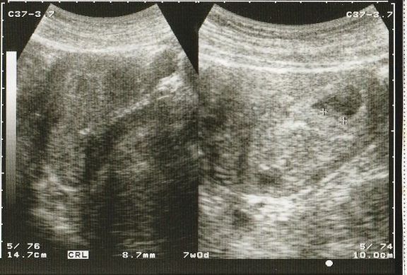
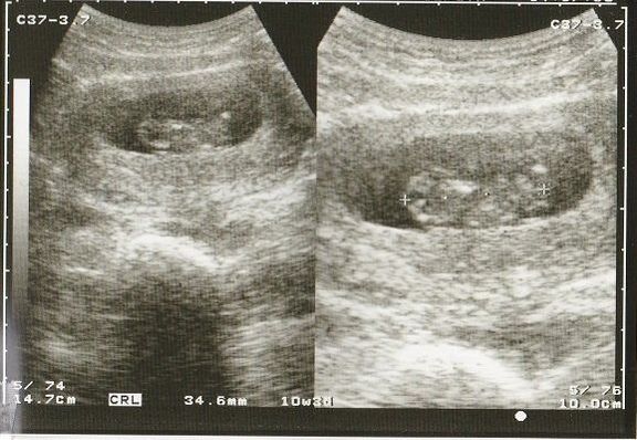
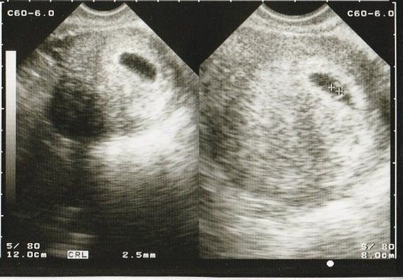
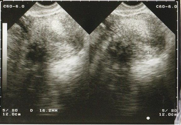
  4. 不妊治療や2度の流産経験を経て「初めての出産」。日々成長する胎児の記録をエコー画像で振り返る
妊娠・出産の人気記事ランキング
関連記事
妊娠・出産の人気テーマ
新着記事
ABJマーク 11091000

ABJマークは、この電子書店・電子書籍配信サービスが、著作権者からコンテンツ使用許諾を得た正規版配信サービスであることを示す登録商標(登録番号 第11091000号)です。 ABJマークの詳細、ABJマークを掲示しているサービスの一覧はこちら→ https://aebs.or.jp/

本サイトに掲載されている記事・写真・イラスト等のコンテンツの無断転載を禁じます。