SHOP

内祝い

  1. トップ
  2. 赤ちゃん・育児
  3. 赤ちゃんの病気・トラブル
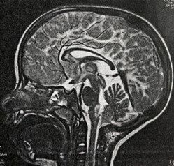
  4. 生後9カ月のとき、突然激しいけいれん発作を起こした息子。遺伝子検査の結果、聞いたこともない病名に目の前が真っ暗に【アレキサンダー病・体験談】
赤ちゃん・育児の人気記事ランキング
関連記事
赤ちゃん・育児の人気テーマ
新着記事
ABJマーク 11091000

ABJマークは、この電子書店・電子書籍配信サービスが、著作権者からコンテンツ使用許諾を得た正規版配信サービスであることを示す登録商標(登録番号 第11091000号)です。 ABJマークの詳細、ABJマークを掲示しているサービスの一覧はこちら→ https://aebs.or.jp/

本サイトに掲載されている記事・写真・イラスト等のコンテンツの無断転載を禁じます。