産院選びから出産まで、わからないことだらけ。充実したマタニティライフをエコー写真で振り返る
一男一女の子育てとフリーライターをしているクリコです。20代で出産をと思い28歳で妊活開始。2カ月ほどで自然妊娠しました。当時、通勤ラッシュの電車にゆられて、残業して帰宅後は適当に食事、夜更かしして寝不足になった分は休日に寝だめするという生活。毎日同じ時間に基礎体温を測ることで、生活や体の変化を意識するようになったのが妊娠につながったと思います。
婦人科を受診したこともなく、つわりがどういうものか、体がどう変化するのかも知識がなかった私の妊娠期は、初めてづくし。少しずつ学び体感しながら過ごした、とつきとおかでした。
<妊娠初期ごろ> 産院探し・妊婦健診は不安と緊張でいっぱい
妊娠4週目のエコー写真
生まれて初めての内診。恥ずかしさと、痛みを心配をしている間に終了。胎嚢は確認できたけど、まだ心拍は確認できないので、来週また来てくださいとのこと。また、この時期は初期流産の可能性も高いという話をされて、一気に心が沈みました。確かに、普通なら妊娠に気づかないような超初期。でも、確実に命の始まりがあることがわかり、「流産はしたくない!」と思い続けて過ごしました。
妊娠6週目のエコー写真
不安な1週間を過ごし、2回目の健診。心拍が確認できました。母子手帳取得の許可が降り、やっと妊娠したと言えるとホッとしました。安心したのもつかの間、早く分娩を申し込まないと、予約がいっぱいになるということで、里帰り出産か、今の産院かを判断しなければならず、実家近くの産院を見学したりと慌ただしい時期でした。結局、今の産院で出産してから里帰りすることにしました。
妊娠7週目のエコー写真
3回目の健診。赤ちゃんは小さく白いモヤモヤで写っているだけですが、今回から大きさを測定するようになり、出産予定日も判明。このころから胸やけのような気持ち悪さが始まり、常に何かを口にしたいという気分が続きました。やっと見えるようになった小さな赤ちゃんが、こんなに体に影響を及ぼすなんて、すごいなと妙に感心。
妊娠9週目のエコー写真
4D画像で頭、手、足を見ることができました。枝豆のような頭の形でなんだかかわいい、と早くも親バカ。この時期は、子宮がんや感染症の免疫の有無など、様々な検査を行いました。実母に、私がはしかやおたふく風邪にかかったかなどや、母がどのような妊娠・出産をしたかを教えてもらいました。
妊娠11週目のエコー写真
産院では、動画で赤ちゃんが動く映像を見せてくれて、検診に行くのが楽しみでした。
この頃、胎児染色体検査(ダウン症かどうかの検査)をするかを決めたり、“ソフロロジー法”の資料を読んだりすることで、私はどういう出産をしたいかを考えるようになりました。(胎児染色体検査はその結果によって産むか産まないかを考えることをしたくなかったので、受けるのをやめました。)
<妊娠中期ごろ>安定期に入り妊婦生活を楽しむように
妊娠15週目のエコー写真
やっと安定期に入りました。「性別は、次回の検診のときに聞きたければ教えますよ」と言われていて、今回“男の子”と教えてもらいました。手で目をこすっているような様子など、かわいいな、早く会いたいな、名前どうしようかな、と思いを巡らせていました。退職したため、夫の休みに出産前最後の旅行もしました。
妊娠19週目のエコー写真
安定期に入り、検診のたびに体重や血圧を測るようになりました。前回の検診時から、8~10kgの増加が目安と言われていましたが、妊娠15週から19週の間ですでに1.3kg増。強い食欲と眠気に勝てない毎日に危機感が募り、マタニティーヨガ、マタニティービクスを開始しました。
妊娠23週目のエコー写真
推定体重679g。大きくなったためエコー画像に収まらなくなり、胎動もよく感じるようになりました。運動や、母親学級に参加したことで、初めてのママ友ができ、マタニティーライフを満喫。結婚して引っ越してきた土地で、近所に友人もおらず、平日に近所を歩くこともなかったので、毎日がとても新鮮でした。妊娠生活や、地域の情報なども交換でき、有意義な時間がすごせました。ただ、その目的で、お茶やランチをしていたせいか体重はどんどん増えるばかり。
妊娠26週目のエコー写真
推定体重が1kg近くになりましたが、私の体重の増え方はそれを上回り、すでに約4kg増。おなかが重くなったせいか、睡眠が浅く、夜中に起きたり夢を見ることも多くなりました。私が子どものときに亡くなった祖父が、夢でお告げのようなものを語りかけてきたり、泣きながら目が覚めたりということもありました。
<妊娠後期ごろ>息苦しさと体重増加との最後の戦い!?
妊娠28週目のエコー写真
この辺から、少し動くだけで息切れするようになり、寝ても起きても息苦しさを感じていました。思ったより体力がなくなり、マタニティーヨガに通ったり、胎教にとクラシックや童謡や英語の曲などを聴いたりして気分転換を心がけて過ごしました。
妊娠30週目のエコー写真
赤ちゃんの大きさは標準の真ん中あたり。胎盤の位置や羊水の量も正常、母子ともに問題はありませんでした。
ムチムチの赤ちゃんの顔がアップになった4D写真。出産まで3カ月をきり、改めて「出産準備をしなければ」と、焦り始めました。
妊娠32週目のエコー写真
2000gを超えました。安心と同時に、体の重い状態がまだあと2カ月も続き、まだ大きくなるのかと思うと少し憂鬱に。体重も7kg以上増え助産師さんに注意されたものの、何か口に入れていないと気持ち悪くなるような状態で、つい食べ過ぎて自己嫌悪になることもありました。
妊娠34週目のエコー写真
最後の血液検査があり、「妊娠37週を超えると正期産に入りますよ」と聞き、「妊婦生活も終わりに近づいているのだな」と感じた検診でした。「今のうちにやりたいことを」と思いましたが、結局、雑誌や本を読むくらいしかできなかったです。美容院に行けなくなるからと、私を含め、髪を切る人が多かった気がします。
妊娠36週目のエコー写真
産院では、輸血が必要になったときのために、希望者は事前に自己採血し、院内保管してくれるということで、私は念のため希望しました。「たまごクラブ」や産院でもらった資料にある「入院準備のリスト」を見ながらチェックしました。
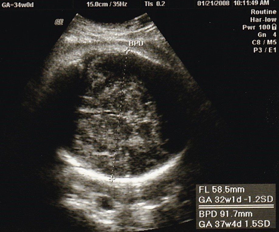
妊娠37週目のエコー写真
推定体重3000gにまで増えていてビックリ。私自身が2600gで生まれており、「お産は母親に似る」と聞いていたので、勝手に少し小さめで生まれてくると思っていました。「4000g超えになるかも」と不安を覚えました。私は既に10kg近く増加になっていたので、この時期から意識的に散歩と、食べすぎに気をつけ、臨月は赤ちゃんの増加分(約1kg)にとどめ、最終的に10.5kg増で抑えました。
妊娠38週目のエコー写真
このころ、ママ友から続々と「出産しました」メールが届き始めました。10時間以上陣痛に苦しんだり、産後あちこちに痛みが出たりと、リアルな情報にドキドキもしましたが、「トイレは前かがみがいい」とか、「円座クッション、授乳クッションがあるといい」など、産後にかなり役に立つ情報も得られて心強かったです。診察では全く赤ちゃんが降りてくる気配がなく、そろそろ生まれてほしいと思うように。
妊娠39週目のエコー写真
母や義母から「まだ生まれないの?」という電話と、たまたま出産予定日が日曜日で、夫、実父、義父も仕事が休み。その日に産まなきゃという義務感が生まれてきました。前日に自宅近くの坂道を上り下り、たっぷり散歩し、スクワットをした結果、無事、予定日当日に出産できました。
妊娠40週0日。予定日に7時間半の陣痛を経て生まれた赤ちゃんは、身長51cm、体重3568g。手足があるか、障害がないかなどが最初に頭に浮かび、元気な男の子が生まれたと分かった瞬間、「やっと終わったー!」いう嬉しさがこみ上げてきました。新生児室の中で一番ビッグで貫禄のある息子を見ると、自分の中からこんな赤ちゃんが出てきたのか、と変な感覚でしたが、毎日見ているうちにどんどん愛着が湧いてきました。赤ちゃんを産んだらというより、育てながらママになり、親子になっていくのだなと実感しました。私はたまたま何の問題もなく、出産まで順調でしたが、それでもとても大変でした。世の中のお母さんはすごい!
[クリコ * プロフィール]
一男一女の母。子どもは苦手な方だったが、出産後、地域の子育て広場に顔を出しているうちに、子連れで行けるスポット紹介のマップ作りや、広場のニュースレター発行に携わるようになる。現在は、子育てしながらフリーライターとして働く。
※この記事は個人の体験記です。


SHOP
内祝い
