不妊治療や2度の流産経験を経て「初めての出産」。日々成長する胎児の記録をエコー画像で振り返る
日々子育てに奮闘しながら過ごすライターの【ちゃじゅび】です。不妊治療や2度の流産経験をへて、赤ちゃんのことを忘れかけていたころに、思いがけず子宝に恵まれました。不安と期待の日々をエコー画像とともにご紹介します。
<妊娠初期ごろ>待望の赤ちゃんがやってきた
妊娠4週目 初めてのエコー画像
結婚10年目にしてやってきた待望の赤ちゃん。初めてのエコー画像は「ここに本当に赤ちゃんがいるの?」というようなものでした。初期の流産を経験しているので、「何かあったらすぐに連絡するように」と、当時は主治医の先生の携帯番号がエコー写真の下に添えてありました。
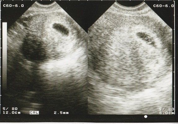
妊娠5週目のエコー写真 胎嚢が見える
胎嚢(赤ちゃんがはいった袋)が確認できるようになりました。
妊娠6週目のエコー写真 胎芽が見える
胎嚢が大きくなり、そのなかに胎芽(7週未満の赤ちゃん)が確認できるようになりました。
妊娠7週目のエコー写真 徐々に大きくなっていく胎芽
妊娠の喜びととともに不安も大きかった日々。毎週病院で検査してもらい、徐々に成長している過程を確認して、ホッと胸をなで下ろしていました。
妊娠8週目のエコー写真 10mm以上に成長
CRL(頭殿長=頭からおしりまでの長さ)が10mmを超えました。
順調に大きくなっていますが、まだまだ「大丈夫だろうか?」という不安が大きかった時期。
妊娠9週目のエコー写真 何となく人の形?
落花生のように真ん中がくびれた胎児の形が見えるようになってきました。
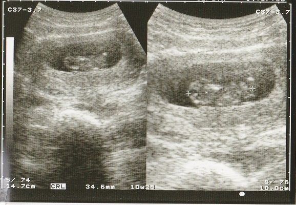
妊娠10週目のエコー写真 大きな塊に
まだまだ「赤ちゃんだなあ」とは思えない形の画像です。
妊娠12週目のエコー写真 初めて心臓の音を聞いた
12週目に、初めて赤ちゃんの心臓の音を聞かせてもらいました。自分のおなかのなかで脈打っている赤ちゃんの心臓。「元気に生きていてくれているんだ」と、とても安心しました。
妊娠14週目のエコー写真 初めての赤ちゃんの顔?
心音とともに、何となく「これが赤ちゃんの顔なのかな?」という画像にご対面。
<妊娠中期ごろ>何となく人の形になってきました
妊娠16週目のエコー写真 安定期に突入
「ここが顔だなあ」と、わかるようになってきました。妊娠中期で安定期になりましたが、おなかの赤ちゃんのためにも油断は禁物と考えていた時期です。
妊娠18週目のエコー写真 画像におさまらないほどに成長する
赤ちゃんがどんどん大きくなり、1枚の超音波画像ではおさまりきらなくなりました。画像を2枚くっつけて赤ちゃんの大きさを測っています。
BPD(児頭大横径=頭の直径)を測って、胎児の発育を調べるようです。ここまで、母子ともに特に異常も無く過ごせました。
妊娠21週目のエコー写真 赤ちゃんが激しく動くようになる
FL(大腿骨長)が30mmを超えました。人体で一番長い骨である大腿骨の長さを測って、赤ちゃんの成長をチェックしています。
妊娠6カ月になると、おなかも多くなり、赤ちゃんの動きも激しくなってきました。
妊娠24週目のエコー写真 早産のリスクがある時期
日常生活が大変な時期になってきました。早産の心配もあるので、重い荷物は持たないようにするなど気をつけました。
右側は赤ちゃんの顔の画像。目鼻も何となくわかって、「ああ顔だなあ」と思えるようになりました。
妊娠26週目のエコー写真 男の子であることが判明
左側のエコー画像に、男の子のシンボルが写っています。人によっては、生まれるまで男の子か女の子か告げて欲しくないという方もいらっしゃるようですが、私の場合、お医者さんに何も聞かれずに「男の子ですね」と言われました。
左側は頭の画像。赤ちゃんの頭もだいぶ大きくなりました。
<妊娠後期ごろ>いよいよ出産へ
妊娠29週目のエコー写真 お母さんの体にむくみなどが出てくる時期
赤ちゃんの眼球が写っています。このころ、おなかのなかで赤ちゃんも寝たり起きたりしているそうです。
この時期になると、手足のむくみが気になるようになりました。
妊娠30週目のエコー写真 お母さんも大きくなる時期
赤ちゃんも順調に育っていますが、お母さんの体重も増え気味に…。「あまり体重が増えると管理入院ですよ」と、看護婦さんに釘を刺されました。
妊娠32週目のエコー写真 おなかもぱんぱんです。
AC(おなかの周囲の長さ)などから、赤ちゃんの推定体重を計算するようです。赤ちゃんのおなかも大きくなっていますが、お母さんのおなかもぱんぱんです。
妊娠35週目のエコー写真 いよいよ出産へ
妊娠9カ月になり、いよいよ出産に向けての準備段階です。母親学級に参加して、出産についていろいろと勉強しました。待望のわが子に会えるまで、あと少しです!
私の息子は生まれたときから髪がふさふさでした。このころから髪が伸びていたのかな?
息子は、妊娠38週目に体重2978g、身長50.5㎝で、元気に生まれてきてくれました。
病院で妊娠したと診断されても、なかなか実感がわきませんでしたが、エコー画像を見ることで、おなかのなかで赤ちゃんが順調に育ってくれているのだと確認でき、安心することができました。今は3Dや4Dなど、さまざまなエコーもあるようですが、一度しかないことなので、「あのときやっておけば」と悔いが残らないよう、できる記録は何でもしておいた方がいいのではないかと思います。子どもが大きくなってからも、こうやって思い出すこともできるので、これからもこのエコー画像を大切にしていきたいです。
[ちゃじゅび * プロフィール]
小学生の息子と夫の3人家族です。初めての子育てに悩みながらも手探りで進んでいます。子どもの成長とともに、自分も成長していきたいと、日々の細々とした出来事に一喜一憂しながら気ままに過ごしています。
※この記事は個人の体験記です。記事に掲載の画像はイメージです。


SHOP
内祝い
