赤ちゃん・育児の人気記事ランキング
-
育児の困ったがズバリ!解決する本『ひよこクラブ 夏号』 4カ月~2才になるまで、育児に役立つ情報がいっぱい!赤ちゃん・育児 -
赤ちゃんのお世話まるわかり!『初めてのひよこクラブ 春号』〈巻頭大特集〉初めての授乳がうまくいく! おっぱい・ミルクの基本と授乳トラブル 解決テク赤ちゃん・育児 -
俳優・勝矢、真風涼帆夫妻。年齢を重ねてからの初めての子育ては、夫婦一緒に。「わからないことだらけでも、2人で決める」「支え合わないと育児は乗り切れない」赤ちゃん・育児 -
俳優・勝矢と真風涼帆に第1子誕生。舞台での初共演から結婚、そして家族に。「お互いに、最初から不思議と感覚が合った」赤ちゃん・育児 -
第2子妊娠中の西野未姫。31歳差の夫・極楽とんぼ山本の年齢を考えて、産後半年で妊活スタート。昭和な名前を好む夫とは、また名づけでぶつかりそう!?赤ちゃん・育児
関連記事
-
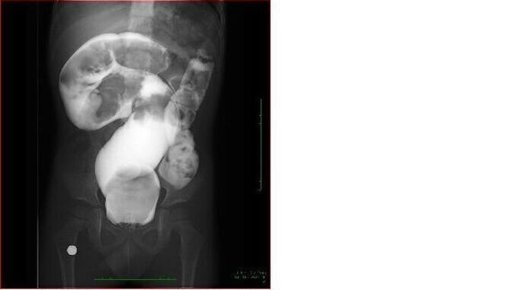
激痛で暴れる3歳の娘を夫と2人がかりで押さえつけた日々「小児慢性機能性便秘症」の怖さ・ママの声赤ちゃん・育児 -
「うんちの呪い」が怖すぎる…!一度かかると治療に数年かかることも。「慢性機能性便秘症」とは?【専門医】赤ちゃん・育児 -
大人の便秘とは違う、赤ちゃんの便秘、予防、早期発見が大切「小児慢性機能性便秘症」必ず治療を【小児科医】赤ちゃん・育児 -
「1歳までは生きられないかも…」生後2日で腸の95%が壊死。残された小腸はたったの5cmに【短腸症候群・体験談】赤ちゃん・育児 -
「便秘症」は治療が必要な病気。子どもの便秘が慢性化するのを防ぐために、正しい知識を身につけて【専門医】赤ちゃん・育児
赤ちゃん・育児の人気テーマ
新着記事


SHOP
内祝い
