妊娠5週目のおなかの赤ちゃんはどう見える? みんなのエコー写真・超音波写真
ママライターのみなさんの妊娠出産体験談から、妊娠5週の赤ちゃんのエコー写真を紹介します。
チャーミー小結さんの妊娠5週目のエコー写真
妊娠検査薬で陽性反応が出た翌日、病院を受診して最初に撮ったエコー写真です。この時点で妊娠5週目。初めて見る画像でしたが、モニターに映った瞬間「いる!」と胎芽の入っている胎嚢(袋)が確認できました。
ママにエールさんの妊娠5週目のエコー写真
妊娠発覚時は、その時の休日当番医にかかりましたが、以前から妊娠したら通院しようと考えていた産院を初受診。感じの良い女医さんが担当に。エコーで見えるのは、やはり胎嚢だけでした。赤ちゃんは胎芽と言われる時期。まだ、おチビちゃん過ぎで見えないのかしら。
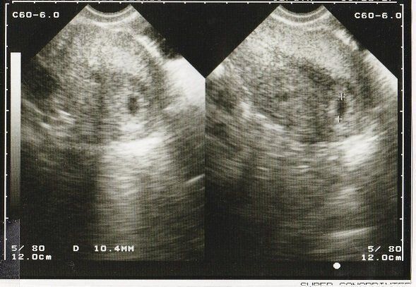
Tomomiさんの妊娠5週目のエコー写真 胎嚢が確認できました
妊活を始めて3年。稽留流産の緊急手術から9カ月後、ついに娘の1枚目のエコー写真をもらいました。新たな土地に引っ越し、右も左も分からない中で1番初めに調べた病院は、レディースクリニックの情報でした。
先生との相性が良かったのか、通い始めて半年で妊娠、クリニック卒業になるなんて思いもせず、飛び上がって喜びました。
セイコさんの妊娠5週目のエコー写真 胎嚢が見えました!
妊娠しているみたいだけど、ちゃんと妊娠できているか祈る思いで病院を受診しました。人生はじめてのエコー写真です。この時点で妊娠5週目。「胎嚢が見えますね」と言われたときの喜びが忘れられません。
マダムまかろんさんの妊娠5週目のエコー写真 ようやく妊娠成立!
不妊治療専門クリニックで5回目の体外受精を行い、その後医師から妊娠していることを告げられました。妊娠5週目の画像です。当時は、妊娠したうれしさより、正直なところ「これでもうあの治療のつらさから解放されるかもしれない」という気持ちの方が強かったです。まだ流産の可能性が高いということで、夫も私も心から喜ぶことはできませんでした。
Tomomiさんの妊娠5週目のエコー写真 胎嚢が確認できた
「そろそろ第2子を授かりたいね」と、夫婦会議をしてから数カ月が過ぎた頃、ママのおなかへやってきてくれた息子。第1子で苦労し、第2子でも長期戦を覚悟した妊活の末だったので、とても驚きました。
喜びと同時に、「無事に心拍が確認できるのか」と不安もよぎりましたが、上の娘のお世話で忙しく、第1子の時のように過敏になり過ぎずに日々を過ごす事ができました。
ちゃじゅびさんの妊娠5週目のエコー写真 胎嚢が見える
胎嚢(赤ちゃんがはいった袋)が確認できるようになりました。
つぼいみきさんの妊娠5週目のエコー写真 胎嚢が確認できました
胎嚢が確認できました。
妊娠検査薬で陽性反応が出てから3日後に一人で受診。胎嚢の確認ができ妊娠していることがちゃんと分かると、先生の前で嬉しくて涙してしまいました。「私たちの元へやってきてくれてありがとう」という思いが溢れてくるとともに、一度流産の経験があったため、「もしまた流産してしまったら…」という不安な気持ちも一緒に押し寄せてきました。
ベビオママさんの妊娠5週目のエコー写真 妊娠判明
生理が遅れ、ときどき吐き気を感じたことから市販の妊娠検査薬で確認したところ、陽性反応だったため、病院へ。エコー画像の真ん中に、赤ちゃんのいる袋(胎嚢)が写っていました。新しい命を授かった嬉しさで胸がいっぱい。しかし、ひどいつわりと眠気に悩まされる日々が始まりました。その頃はあまり食事がとれなくて、イオン飲料やゼリー飲料を飲みながら、どうにか栄養摂取している状態でした。
たかこさんの妊娠5週のエコー写真 胎嚢を確認後、不正出血で絶対安静に
めまいを覚えたことから妊娠を疑い、その頃は計算上で妊娠3週目程度だったため、そこから2週間待って病院へ。エコー写真ではまだ胎嚢(中央の小さな縦長の黒い部分)しか確認できません。2度の流産経験から胎嚢を見るのは3回目で、「ぬか喜びをしてはいけない」と自分に言い聞かせていました。この翌日の夜、不正出血があり、自宅で絶対安静と言われました。「気休めだけど」と言われた薬を飲んで、トイレと食事以外は起きない生活が2週間続きました。
小吉さんの妊娠5週目のエコー写真
味覚の変化が気になって妊娠検査薬で調べたところ、陽性反応が出たため、翌日に早速、産婦人科へ行きました。これが最初に撮ったエコー写真です。中央左に見える黒い楕円が胎嚢ですが、妊娠に気づくのが早かったようで、この時点では「妊娠の兆候が見られる」とだけ言われ、確定は翌週に持ち越されました。
●この記事は個人の体験記を集めたものです。
●2026年1月27日 記事の一部を修正しました。
妊娠中におススメの本
妊娠がわかったら最初に読む本『初めてのたまごクラブ』最新号はこちら!



SHOP
内祝い
