妊娠6週目のおなかの赤ちゃんはどう見える? みんなのエコー写真・超音波写真
ママライターのみなさんの妊娠出産体験談から妊娠6週の赤ちゃんのエコー写真を紹介します。
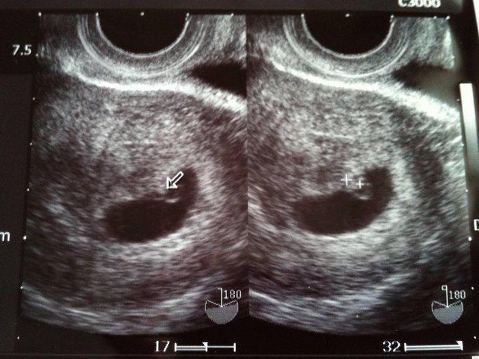
ママにエールさんの妊娠6週目のエコー写真
薄茶色のおりもの(出血)があり、気になって産院へ電話。「とりあえず、診察へ」と言われて受診しましたが、妊娠初期によくある程度の出血だから大丈夫とのこと。出血止めの薬だけ処方されました。ちょうどこの時、エコーで白い小さな粒を確認。「これが赤ちゃんに成長していきます」と先生に聞いて、愛しさでエコー写真をしばらく眺めていました。夫に見せたら、「ちっこい」と笑っていました。
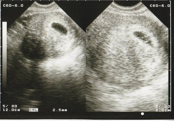
なつさんの妊娠6週目のエコー写真
妊娠発覚!2ミリくらいですと言われる。
転職活動中、「そういえば生理が来てないな。もしかして」と思い、レディースクリニックに行きました。診察してみると妊娠しており、すでに6週でした。子どもは将来いずれと思っていましたが、結婚もまだまだ先のことだと思っていたので心の準備が全くできておらず、正直ショックで「どうしよう」と思いました。呆然としながらもエコー写真を見てだんだん産みたいという決心がついてきました。
Tomomiさんの妊娠6週目のエコー写真 心拍確認できました
「ちゃんと大きくなっているかな?胎嚢の中に赤ちゃんは見えるかな?」不安な気持ちで内診台へ上がり、思わず手を組んで祈ってしまいました。先生のとっても嬉しそうな「おー、いたいた」という声にほっと胸を撫で下ろし、ピコピコ動くベビちゃん(胎児ネーム)の心拍を見ながら、「現実なのかな?」と信じられない気持ちでいっぱいでした。
私にとって4度目の妊娠陽性反応、そして初めての心拍確認!1つの大きな壁を乗り越えたと同時に、妊娠が継続するのかと、不安な気持ちと闘う日々も続くのでした…。
Tomomiさんの妊娠6週目のエコー写真 4日で3.9mmも成長!!
心拍確認から数日後、腰痛と少量の出血が起こり、急遽クリニックへ。「お願い…なんとかしがみついていてね…」と、祈る気持ちで診察を受けましたが、ベビちゃんは無事でした。たった数日での急成長に不安も吹き飛びました。
赤ちゃんがママから栄養をもらう“ホワイトリング”も見え、まさに天使のようでした(笑)。
クリコさんの妊娠6週目のエコー写真
不安な1週間を過ごし、2回目の健診。心拍が確認できました。母子手帳取得の許可ももらえ、やっと妊娠したと言えるとホッとしました。安心したのもつかの間、早く分娩を申し込まないと、予約がいっぱいになるということで、里帰り出産か、今の産院かを判断しなければならず、実家近くの産院を見学したりと慌ただしい時期でした。結局、今の産院で出産してから里帰りすることにしました。
水野谷つむぎさんの妊娠6週目のエコー写真 心音が確認できた!
心音確認ができました。卵大の子宮の中にいて、1cmにも満たない大きさだと教えてもらいました。
Chisatoさんの妊娠6週目のエコー写真 心拍確認で一安心
妊娠5週目ごろ、妊娠検査薬で陽性反応が出たので病院に行ったところ、まだ妊娠と確定されず、妊娠6週の健診できちんと確定されて一安心しました。
マダムまかろんさんの妊娠6週目のエコー写真 分娩する病院を決定
体調は何も変化はないので、相変わらず妊娠している実感はわかず。エコー画像を見るまで赤ちゃんが無事おなかの中で育っているかどうか不安でいっぱいでした。不妊治療専門クリニックから分娩可能な病院を紹介しているリストをもらうと、近隣で一番大きな大学病院の産科に分娩予約しました。高齢出産だったため、万一のことを考えて設備の整った大学病院を選択しました。
rainyさんの妊娠6週目のエコー写真
12月27日、妊娠したかどうか、モヤモヤした気持ちで年を越したくなかったので、検査に行きました。妊娠が分かった時は、お姉ちゃんと5歳も離れていたので、本当に嬉しかったです。サンタさんに少し遅れたクリスマスプレゼントをもらったような気がしました。赤ちゃんの袋の中に卵黄嚢が見えました。
はやしなおさんの妊娠6週目のエコー写真 心拍確認。母子手帳をもらいに役所へ
前回の健診から2週間。胎嚢もだいぶ大きくなり、この時点で心拍確認。1つ目の大きな山をクリアしたと安心し、ほっとしました。それと同時に早くもつわりが始まりました。動けない日が多く、長女の遊び相手も思うようにできません。体調が悪く、ソファで寝てばかり…娘がかわいそうで涙の出る日もありました。
ちゃじゅびさんの妊娠6週目のエコー写真 胎芽が見える
胎嚢が大きくなり、そのなかに胎芽(7週未満の赤ちゃん)が確認できるようになりました。
くろみつさんの妊娠6週目のエコー写真 心臓の動きが確認できてひと安心
おなかの赤ちゃんは元気でいるのかどうか不安だった2週間を経て、やっと健診の日が来ました。黒い空間(子宮)が大きくなっていて、赤ちゃんのお部屋が大きくなってうれしかったのを覚えています。医師から「心拍が確認できたので、次回の健診までに母子手帳をもらってきてください」と言われ、次回(2週間後)までは時間はたくさんあるのに、うれしくて、その足で市役所の休日窓口へ母子手帳をもらいに行きました。妊娠初期は何があるかわからないと思っていたので、両親への報告は安定期に入ってからと考えていたのですが、喜びを誰かに伝えたくなり、実父母にはこの日に電話で報告してしまいました。
たかこさんの妊娠6週目のエコー写真 ようやく心拍を確認するも、まだ気が抜けない時期
めまいに加えて、つわりが出始めました。不正出血から1週間後の検査で、胎嚢の中に胎芽と心拍を確認。左上にちょこんと、くっついています。前回、心拍確認後の流産だったため、「もう少し様子を見ようか」と、この時点ではまだ母子手帳をもらってくるようには言われませんでした。なお、エコー写真に記載される週数は、胎嚢、胎芽の大きさで計るために、1週間たってもまだ5週と表示されています。
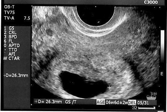
小吉さんの妊娠6週目のエコー写真
待ちに待った診察の日です。自分の中では妊娠していると確信がありましたが、医師のお墨付きをもらわなければなりません。先週よりも大きくなった胎嚢の中に赤ちゃんの姿が見えます。このときは0.7cmですが、心音が確認できたことが決め手となり妊娠が確定しました。しかし、妊娠初期での流産リスクは25%と告げられ、落ち込む暇もなくどのようにして乗り切るかを考え始めました。
Amiさんの妊娠6週目のエコー写真
初めての健診で、胎嚢の中にいる我が子が確認できました。心拍もしっかりしていたので、医師から「おめでとうございます」と言われ、妊娠が確定しました。まだ23.3mmしかない小さな袋の中の胎芽(妊娠8週未満の赤ちゃんのこと)に、生命誕生の凄さを感じました。
●この記事は個人の体験記を集めたものです。
●2026年1月27日 記事の一部を修正しました。
妊娠中におススメの本
妊娠がわかったら最初に読む本『初めてのたまごクラブ』最新号はこちら!



SHOP
内祝い
