【妊娠35週】赤ちゃんのエコー写真・超音波写真まとめ
ママライターのみなさんの妊娠出産体験談から妊娠35週の赤ちゃんのエコー写真を集めました。
チャーミー小結さんの妊娠35週目のエコー写真
妊娠35週目。低出生体重児とされる2500gを超える時期になってきました。この体重に達すれば管理入院の必要が無くなるので、一旦退院して陣痛が来たらまた分娩に来るか、このまま計画出産するかの選択を迫られました。
なつさんの妊娠35週目のエコー写真 顔立ちがよりはっきりとしてきました
もう生まれてきても良い週数が近づき、最後の検診でした。顔立ちもよりはっきりしてきて、どちらに似ているかと考えたりもしました。顔を見ると早く会いたいなと、生まれてくるのが楽しみになりました。さらにこの頃は真夏だったので、暑くてお腹はいよいよパンパン。動くのも大変で苦しかったので、早めに出て来てくれないかなとも思っていた時期でした。
Tomomiさんの妊娠35週目のエコー写真 帝王切開の決定!
推定2205g。2週間前のエコーの時と、びっくりする位同じ姿勢のベビちゃんが映し出され、先生も看護師さんも私も思わず笑ってしまいました。この日は逆子に加えて、へその緒が首に巻きついているという驚愕の事実も知らされたのでした。最後まで希望をもって逆子体操をしていましたが、ついに手術日が決定。
「お母さんになるんだから強くならなくちゃね」そう助産師さんに言われ、「手術中に意識があるって怖くないのかな?帝王切開では立ち会いできないかな?」と、いろんな疑問や不安でいっぱいだった私の心は少しだけ前向きになり、病院から自宅に帰る車の中で「頑張ろうっ!」と、おなかに話しかけながら泣いたのは忘れられない思い出です。
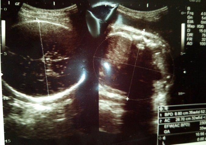
水野谷つむぎさんの妊娠35週目のエコー写真 赤ちゃんの推定体重2309g
この頃もまだ股関節痛がひどく、医師に相談しました。でも、「出産に向けての準備だから仕方がない」の一言に撃沈。やはりストレッチなどをして、うまく乗り切るしか方法がないようです。「生活に支障が出ているというのに」と、思わずにいられませんでした。
Tomomiさんの妊娠35週目のエコー写真 2週間で500gも成長!
推定体重が2620gになり、この2週間の急成長にびっくり。ついに帝王切開の手術予定日も決まり、出産に向けてもう一踏ん張り。入院の準備やご飯の作り置き、入院中の娘のお世話の仕方などをパパに指導し、ドキドキの2人目出産は目前に。
ちゃじゅびさんの妊娠35週目のエコー写真 いよいよ出産へ
妊娠9カ月になり、いよいよ出産に向けての準備段階です。母親学級に参加して、出産についていろいろと勉強しました。待望のわが子に会えるまで、あと少しです!
私の息子は生まれたときから髪がふさふさでした。このころから髪が伸びていたのかな?
つぼいみきさんの妊娠35週目のエコー写真 貧血数値がギリギリとなる
推定体重2100g 貧血数値がギリギリとなる
赤ちゃんは体重も増え、順調に成長。私は新居への引越しがあり、つい動き過ぎてしまっておなかが張り、薬を飲んで横になるという日が増えていました。私の体重もどんどん増加傾向。おなかが大きくなることで食欲が治まってくる気配はなく、検診日の体重測定が怖くなっていました。この時すでに8kg増加。そしてこの日、「貧血数値がギリギリだから食事から鉄分を取れるように意識してね」と先生に言われ、レバーを意識して食べるようにしました。
小吉さんの妊娠35週目のエコー写真
残念ながらこのときも、赤ちゃんは顔をよく見せてはくれませんでした。中央に顔、右目が黒く鼻が白く写っています。頭が右で顎が左です。顔の左上に右手、左手を口の近くに持ってきているので、また指しゃぶりをしていたのでしょう。
Amiさんの妊娠35週目のエコー写真
まだ正期産前ですが、推定体重から計算される出産予定日までもが、3週間近く早くなっていました。誤差はあるとは言え、順調なのは嬉しい半面、「大きくなりすぎて難産になるのでは」と不安な気持ちも隠しきれませんでした。
※この記事は個人の体験記です。


SHOP
内祝い
