赤ちゃんの皮膚の病気 とびひ・伝染性膿痂疹の症状とケア【医師監修】
赤ちゃんの肌はとてもデリケート。汗や汚れ、気温・湿度の変化、衣類やおむつとの摩擦など、ちょっとしたことでトラブルを起こしてしまいます。また皮膚は、熱や感染症などのサインを出してくれます。何か異常があったら、早めに受診しましょう。
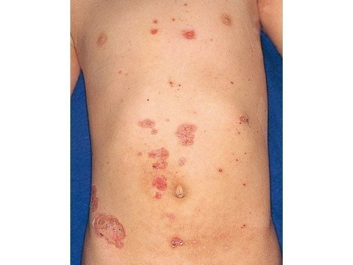
赤ちゃんのとびひ・伝染性膿痂疹(でんせんせいのうかしん)って?
“飛び火”のようにあっという間に広がります。感染力が強いので要注意。
とびひ・伝染性膿痂疹の主な症状
・水疱
・びらん(皮むけ)
・かさぶた
とびひ・伝染性膿痂疹になりやすい月齢・年齢
1歳〜
とびひ・伝染性膿痂疹になりやすい季節
初夏~夏
赤ちゃんのとびひ・伝染性膿痂疹 こんな病気
赤く腫れて水疱ができ、破れて中の液がついたところに広がります。
湿疹、あせも、すり傷、虫刺されなどをかきこわした傷口に、黄色ブドウ球菌や連鎖球菌などの細菌が感染して起こる病気です。
強いかゆみがあり、かいて水疱の膜が破れると、感染力の強い細菌を含んだ液が飛び散り、ほかの部分にもまたたく間に広がっていきます。
黄色ブドウ球菌は鼻の穴に常在するので、鼻をほじっているうちに広がることもあります。連鎖球菌は、黄色い膿疱が全身に広がり、赤みが強いのが特徴です。
水疱が破れたあとは、赤くただれてかさぶたになります。しばらくするとかさぶたも乾いてきれいに取れます。
しかし、ときには全身に水疱が広がって、広い範囲の皮膚がむけて重症になるケースもあるので注意が必要です。
赤ちゃんのとびひ・伝染性膿痂疹 治療&ホームケア
とびひと見られる水疱を見つけたら、破れてほかの場所に菌が広がる前に、小児科か皮膚科を受診しましょう。
水疱の中身を出して抗菌薬入りの塗り薬を塗り、患部をガーゼと包帯で保護します。かゆみがひどい場合は、抗ヒスタミン薬などの飲み薬が処方されます。
感染力が強いので、タオルは家族とは別に。入浴やプールもNG
水疱のあとが乾いてきれいになるまでは入浴を控えシャワーだけにしましょう。
人にうつるので、かさぶたが取れてきれいになるまではプールはやめ、タオルは家族とは別にしましょう。
いつも皮膚を清潔に保ち、かきこわさないようにつめも短く切りましょう。
代表的な薬
・抗菌薬入り塗り薬(アクアチム軟膏、テラマイシン軟膏など)
・抗菌薬(セフゾン、ファロムなど)
・抗ヒスタミン薬(ポララミンなど)
●イラスト/ヌガトモコ
■赤ちゃん 皮膚の病気
・乳児湿疹(にゅうじしっしん)・乳児脂漏性湿疹(にゅうじしろうせいしっしん)
・あせも
・おむつかぶれ
・皮膚カンジダ症(ひふかんじだしょう)
・とびひ・伝染性膿痂疹(でんせんせいのうかしん)
・水いぼ・伝染性軟属腫(でんせんせいなんぞくしゅ)
・単純ヘルペス
・じんましん
・薬疹(やくしん)
・アトピー性皮膚炎
・接触皮膚炎
・あざ
※表記している、月齢・年齢、季節、症状の様子などはあくまで一般的な目安です。
※この情報は、2019年4月のものです。


SHOP
内祝い

