妊娠13週【医師監修】妊婦の症状や体の変化、赤ちゃんの成長
妊娠13週目は、胎盤に厚みが出て完成までもう少しの時期です。つらかったつわりも個人差はありますが治まってきます。体調が安定したら体重管理を意識しましょう。おなかの赤ちゃんの成長の様子や体重コントロールのポイントなど日本赤十字社医療センター周産母子・小児センター顧問/東都文京病院、院長・杉本充弘先生に聞きました。
妊娠13週の妊婦の症状、体の変化
つわりが少しずつ楽になってきます。あと少しの辛抱!
妊娠13週になりましたね。妊娠4ヶ月の2週目です。つわりの症状はどうですか?まだつわりがある人は、少しずつ楽になってきているはずですので、あとひと息です。大半の人は、妊娠12~16週ごろにはつわりが終わります。つらかったつわりが終わると、不思議と食事がおいしく感じられるようになります。ただし、食欲が戻ると、急に体重が増えやすくもなります。急激な体重増加はさまざまなトラブルの原因になる可能性がありますから、気をつけましょう。
この頃の子宮の大きさは、小さめのメロンくらい。おなかのふくらみがやや目立ってくるため、薄手の服を着ていればわかるようになってきます。妊娠15週ごろには、胎盤が完成するといわれています。もう13週ですから、胎盤完成まであと少しです。今後は、流産の心配はかなり減っていくでしょう。そろそろ、妊娠初期に見られる頻尿などの症状が少なくなってくることも。それは、この時期の子宮は、骨盤の上のほうに位置するため、膀胱を圧迫することが少なくなるためです。ただし、残念ながら、妊娠後期には、膀胱への圧迫は再び強まります。
まだ、熱っぽい感じは続いていますか?胎盤が形成されるころには、体内のホルモンの状態も安定してきます。そのため、基礎体温は少しずつ下がっていきます。微熱が続く感じや体のだるさも取れてくるので、体はだいぶ楽になるでしょう。
妊娠13週のおなかの赤ちゃんの成長の様子は?
器官の形成が終わり、体や手足の骨、筋肉などがこれから発達してきます。羊水量が増えてきて、手足の動きもしだいに活発に。15週ごろに胎盤が完成し、赤ちゃんの発達はさらにスピードアップ!
おなかの赤ちゃんの成長【12~15週ごろ】
●器官の形成が終わり、これからは体や手足の骨、筋肉などが発達していきます。
●羊水の量が増え、その中で手足を動かすようになります。
●皮膚は不透明で厚くなります。
●男女の外性器ができます。
●目は閉じていますが、口は開けたり閉じたりしています。
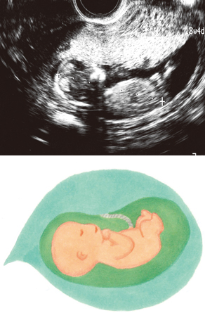
妊娠13週ころのエコー写真を見てみよう
胎盤に厚みが出てきます
赤ちゃんの上側に見える、白く厚みのあるものが胎盤です。胎盤の完成まであと少しになりました。写真は、胎盤の中央あたりから、へその緒が出ていることも確認できます。
■関連記事
- 【妊娠13週】赤ちゃんのエコー写真・超音波写真まとめ
- ママライターのみなさんの妊娠出産体験談から妊娠13週の赤ちゃんのエコー写真を集めました。
自分の適性体重増加を知ろう
つわりが終わったら、いよいよ体重コントロール本番!バランスのよい食生活を心がけ、まめに体重計に乗ってチェックしましょう。
増えすぎとやせすぎに気をつけましょう
妊娠中はおなかの赤ちゃんに栄養を与えたり、分娩や産後の授乳期に備え、体に脂肪がつきやすくなります。その上、食欲も増すので、体重が増えすぎてしまう人も。妊娠中の体重の増えすぎは、さまざまなトラブルの原因になることがあるので、注意が必要です。
逆に、妊娠前からやせている人が妊娠中の体重増加が少ないと、赤ちゃんに十分な栄養を与えられないため、低出生体重児を出産するリスクがあります。妊娠中の体重増加は、標準体重の人で10~13kg、やせ気味の人で12~15kgが目安。週1回は必ず体重を測定する習慣づけをし、妊娠16週目くらいから、本格的に体重コントロールを始めましょう。
食生活は量より質を大事にし、脂肪や糖分、塩分は控えめにして、栄養バランスのとれた食事を心がけましょう。妊娠経過が順調であれば、ウォーキングや簡単なエクササイズなどを習慣にするといいでしょう。
妊娠前の肥満度をチェックしよう
妊娠前の体重(kg)÷(身長(m)×身長(m)) = BMI
●BMIが18.5未満の人は、出産までの体重増加は12~15kgくらいが目安。栄養不足が心配なところではありますが、つい油断していろいろと食べてしまったら、出産直前までに20kg以上も太ったという事例もあるので注意が必要です。
●BMIが18.5以上25.0未満の人は、出産までの体重増加は10~13kgくらいが目安。週に500g以上の増加が見られる場合は要注意ですが、理想的な体重増加に比べて1kgくらいの差であるなら、それほど心配はいりません。
●BMIが25.0以上30.0未満の人は、出産までの体重増加は7~10kgくらいが目安。
●BMI30.0以上の人は、出産までの体重増加の目安は上限5kgで、個別に医師に相談が必要です。妊娠初期の時点から計画的に体重のコントロールを検討しましょう。体重増加は定期的に確認を。急激な増加傾向がある場合は早めに受診して。
妊娠中の食生活 鉄則5か条
1.毎日の食事は1日3回、決まった時間にとるように心がけましょう
食事と食事の間隔が開き過ぎてしまうと、空腹感が増して、いつもよりも多く食べてしまうことがあります。1日30品目の食材をとることを目標に、食事メニューは栄養バランスを考えて、食材に偏りのないようにするといいでしょう。
2.塩分・糖分は控えめにしましょう
濃い味つけのおかずはごはんなどの主食を食べ過ぎてしまいがち。塩分のとり過ぎはむくみや妊娠高血圧症候群を引き起こす可能性が高くなるので、味つけは薄味にしましょう。妊娠中の塩分摂取量は1日6.5gが目安。初めは物足りなさを感じるかもしれませんが、徐々に慣れます。また、糖分と脂肪分はすぐにエネルギー源となり、太りやすいので控えめに。
3.よくかんでゆっくり食べましょう
ゆっくり食事をすると、食べた量が少量でも脳の満腹中枢はおなかがいっぱいになったと感知する傾向があります。逆に急いで食べてしまうと、多量の食事をとることに。慌てて食べることのないように、よくかんで味わいながら食事をしましょう。
4.加工食品、市販品は控えめに
市販の総菜や干物などの加工食品、お菓子のとりすぎは体重増加の3大原因。食べ続けると、簡単にカロリーオーバーします。栄養が偏ったり、塩分や脂肪分もとりすぎてしまうので、食べ過ぎには十分気をつけて。食べる量をコントロールすることが必要です。
5.毎日の食事の中に多くの野菜を取り入れましょう
カロリーも抑えられるうえ、ビタミン類の補給、食物繊維も摂取できます。煮物やサラダだけでなく、炒め物やスープなど、さまざまなメニューに取り入れると効果的。冷凍野菜を上手に利用するのもいいでしょう。
■関連記事
- 【妊娠4ヶ月】赤ちゃんとママの体の変化は?この時期にやることは?
- 妊娠初期・中期と呼ばれる妊娠4ヶ月(12週~15週)は、つわりが少しずつ楽になり、食欲も増してきます。胎盤が形成され、流産の可能性はぐんと少なくなります。今回は妊娠4ヶ月の赤ちゃんとママの体の変化について、産婦人科医の小川隆吉先生に解説していただきました。
妊娠13週の気がかりやトラブル・病気
後期切迫流産
12週以降22週未満に出血や下腹部の痛み・張りなどがあります
気をつけたい時期 妊娠12~21週
後期切迫流産と、病名に「切迫流産」とついていますが、原因は「早期切迫流産」とまったく異なります。その症状や原因・治療は切迫流産と同じです。妊娠22週は「流産」と「早産」の分かれ目であり、おなかの赤ちゃんが生存できるかどうかの境界線であるため、このように名称を区別しているのです。治療により防げることが多いので、出血、下腹部の張り・痛み、おりものの変化などが見られたらすぐ受診しましょう。
後期流産
12週以降22週未満に流産してしまうことです
気をつけたい時期 妊娠12~21週
●原因
母体側に原因があることが多い
妊娠12週以降22週未満の流産を後期流産といいます。妊娠12週未満に起こる早期流産と比べると、母体側の原因によることが多くなります。原因としてはまず、子宮筋腫や子宮奇形など、子宮の異常によるものが挙げられます。次に、子宮が収縮していないのに、早い時期から何の自覚症状もなく子宮口が開き、破水してしまう子宮頸管無力症も大きな原因の一つ。また、細菌に感染することにより、子宮内で炎症が起こってしまい、流産につながることもあります。とはいえ、どちらも症状の早い段階で対応できれば、流産を防げる可能性も出てきます。頻繁なおなかの張りや、月経のときのような出血があった場合はすぐに受診しましょう。
●入院・手術
陣痛を誘発して分娩と同じように処置します
早期流産同様に、完全流産でない場合は、できるだけ流産確定後、早い時期に子宮の内容物を取り除く手術を行います。また、週数が進み、赤ちゃんがおなかの中で亡くなっているときは、陣痛誘発薬で分娩と同じように陣痛を起こして、赤ちゃん、胎盤などを外に出す処置を行います。
後期流産の手術は、陣痛を起こして赤ちゃんなどを出すため、実際、お産をしたのと同じ状態と考えていいでしょう。手術当日から翌日は安静に過ごします。
監修/杉本充弘先生 文/たまごクラブ編集部
先輩ママのリアル体験談【妊娠中の記録どうしてる?】
妊娠14週前後の先輩妊婦さんに「妊娠中の記録どうしてる?」とアンケートを実施。書く・書かない、母子手帳やSNS、新たに日記帳を購入したなどさまざまな記録方法を教えてくれました。
いくつかコメントを紹介します。「妊娠がわかってから5年日記買ってみました。 毎日ではないのですが、気がついたら書くようにしてます」
「主にアプリの10年日記に書いてます。体調や身体の変化、今日の気持ち、夫とのこと、嬉しかったこと、弱音など… 毎日ちくびが痒すぎるとか、人生初の谷間に感動したとか、酸化マグネシウムに足向けて寝れないとか…日々思うことは赤裸々すぎるので、母子手帳には将来子どもに見せてあげられる内容だけにしてます」
「日記など継続しなきゃと思うとストレスになるので、1人目の時は母子手帳は必要事項以外真っ白だった。現在2人目だけど、書くと差が出るから2人目も母子手帳には書かないかな。SNSで簡単なことは思いついた時だけ書いてる」
「母子手帳にはその時の気持ちや身体の状態、エコーアルバムにはその時感じた赤ちゃんへの気持ち(大きくなったらプレゼントしたい)。 フリーのノートには不妊治療を始めた頃からの事を結構細かく(夫婦生活、治療資金、流産経過など)かなり詳細に残してます!」
「妊娠がわかってから毎日ノートに一言日記みたいな感じで書いています。夫の家事、周りからのフォローのありがたさを感じることが多くなり、忘れないように書き留めています」
「やろうやろう、と思って日ばかり過ぎてく……やりたいけど、スイッチが入らない」
「どの時期にどんな症状があったかなどを今後また妊娠した際の参考になればと思い、妊娠経過やつわりの様子を母子手帳に記入している。毎週体重測定とその時のおなかの大きさを横から写真に収めて、少しずつ大きくなっていく様子も記録しています」
「マタニティ専用のインスタ作って記録してます」
「夫と一緒に記録帳兼日記帳を買い記入しています。 その日の出来事や私の体調、いつか子どもに見せるために子どもへのメッセージも残しています!」
「日記アプリに、自分のその日食べたものと体調を記録してます。おなかの張り、昼寝なども記録してます」
「自分の母親が妊娠・育児の時にいろいろ日記じゃないけどメモしていて、それを先日見せてもらって嬉しかったので自分の子どもにもやりたいなと思いノートに毎日じゃないけど書くようにしてます!」 ※体験談コメントはアプリ「まいにちのたまひよ」内、同じ出産月のママ・妊婦さん同士で情報交換できるコーナー(ルーム)に寄せられた投稿を再編集したものです。
■関連記事
- 【妊娠初期・中期・後期】時期でも変わる「おなかの張り&痛み」の危険サイン
- 妊娠はとてもうれしいことだけれど、ひとりの体じゃなくなった分、今までより体の変化に敏感になりますよね。中でも、おなかの張りや痛みは、妊婦さんにとって、とても身近な体の変化です。
【妊娠初期/妊娠2・3・4カ月】初期妊婦さんの不安やお悩みを解消するために、妊娠判明~妊娠4ヶ月までに役立つ情報をお届けする1冊。
ここでしか手に入らない特別付録や、内容充実別冊付録も満載。この1冊があれば、妊娠がわかったら何をすればいいのか丸わかりです!
妊娠日数や生後日数に合わせて、赤ちゃんの成長や、専門家からのアドバイスなど、妊娠日数や生後日数に合った情報を“毎日”お届けします。妊娠育児期にうれしいおトクなクーポンもあります。

ここでは「妊娠超初期」とは妊娠が判明する前の妊娠0ー3週頃のことを指します。生理予定日付近からそれ以降に妊娠検査薬で確認することで、妊娠がわかる人が多いですが、生理予定日前から基礎体温の変化や出血・眠いなど体調の変化が感じられる人も。
そんな「妊娠超初期」の体の変化や気をつけたいことをまとめました。

妊娠おめでとうございます。妊娠が判明し、ママの体は出産に向けて徐々に変化を始める時期。この頃つわりがピークを迎える人も多く、不安が大きい時期でもあります。不安なこの時期に気をつけることは?妊娠初期症状は?暮らしの中の注意事項は?妊娠がわかったころに知りたい情報をまとめました。

安定期と呼ばれる妊娠5カ月以降は、胎動が感じられたり、赤ちゃんの性別が分かる人も多い時期。ほっと一息つきがちなこの時期の注意事項は?気をつけたい症状は?安心しがちなこの時期に知っておきたい情報をまとめました。

出産まであと少し!お産のはじまりで気をつけることは?注意したい症状は?暮らしの中の注意事項は?赤ちゃんに出会える日への期待と不安が膨らむ妊娠後期に知っておきたい情報をまとめました。

出産まであと少し!お産のはじまりからの流れや出産方法、陣痛を乗り切るコツや方法、帝王切開についてなど、事前に知っておきたい出産のための基本情報をまとめました。
妊娠したら気になるお金、手続きについて、事前に知っておきたい情報をまとめました。
-
発表!【たまひよ 赤ちゃんの名前ランキング2025】改正戸籍法の影響は? 女の子の1位に初めて輝いた名前に納得?!赤ちゃん・育児 -
海と生きる女性4人の出産を描いた映画『パシフィック・マザー』。“命を生み出す”ことに向き合う美しさとは【プロデューサーインタビュー】妊娠・出産 -
妊娠中の健康管理のカギは「〇〇菌」!ママの腸内細菌が赤ちゃんにも受け継がれるって知ってる?妊娠・出産 -
腟に便がもれる出産後遺症を患った元AKB・浦野一美。手術を決断し、あきらめかけていた第2子を授かるまで妊娠・出産 -
元AKB48・浦野一美。「腟から便が?」。第1子出産後、1万人に1人の出産後遺症に苦しんだ妊娠・出産 -
9月末に双子の男の子を出産、中川翔子。「仮面ライダーの豊富な知識を押しつけないようにしたい。でも息子たちが興味をもったら、母は止まらなくなるかも・・・」妊娠・出産 -
キャンペーン・プレゼント妊娠・出産


SHOP
内祝い
